この度、奈良文化財研究所の坂本匠アソシエイトフェローが、第1回日本動物考古学会賞「奨励賞」を受賞いたしました。この賞は、動物考古学の研究分野において今後の発展が期待できる優れた業績であり、当所研究員の受賞をここに誇らかに発表いたします。
坂本匠(埋蔵文化財センター 環境考古学研究室 アソシエイトフェロー)
https://www.nabunken.go.jp/org/staff/sakamototakumi.html
第1回日本動物考古学会賞「奨励賞」
(動物考古学の研究分野において今後の発展が期待できる、優れた業績。※参照:日本動物考古学会賞規定)
Takumi Sakamoto. (2024). Seasonal utilization patterns of sika deer (Cervus nippon) remains from eastern Japan utilizing radiographs of mandibular molariform teeth. Journal of Archaeological Science Reports, 60(2024)104816.
DOI https://doi.org/10.1016/j.jasrep.2024.104816
本研究は、縄文時代後期(約3,500年前)の千葉県下総台地の遺跡から出土したニホンジカの骨に着目して、当時のシカ利用がどの季節に行われていたのかを明らかにしたものです。
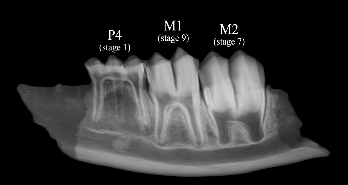
分析では、出土したニホンジカ下顎骨をX線撮影して、歯の成長段階から死亡時の月齢を算出しました。 一般に動物の歯は、比較的短い時間の中で規則的に成長します。そのため、歯がどれくらい成長しているかを細かく観察すると、生まれてからの月齢を知ることができます。そして、その月齢を生態学に基づくニホンジカの出生日にあてはめることで、出土したシカがどの季節に死んだのか、すなわち縄文人によって捕獲された季節を推定していきました。
分析の結果、海浜部・内陸部どちらの集落においても、ニホンジカは冬に集中して利用されていました。今回分析した地域のこれまでの研究では、内陸で獲られたニホンジカが海浜域の集落へ枝肉として運搬されていたことが分かっていたのですが、いつ運ばれていたのかがよく分かっていませんでした。本研究によって、ニホンジカ資源の運搬が行われた具体的な時季が見えてきました。
さらに、同時期には、海辺の干潟で採られた貝類が海浜域から内陸の集落へと冬を中心に運ばれていたことも分かっています。これはニホンジカが運ばれた季節とも一致します。こうした点から、下総台地では海辺と内陸の集落のあいだで、動物資源を介した季節的な交換活動が行われていた可能性が示されました。

図 ニホンジカ下顎骨のX線画像
歯の成長の様子から、このシカは約11ヶ月齢で、5月前半に死亡したと考えられる。